OESOPHAGEAL RUPTURE
AUTHOR: Dr.P.K.PREMSHANKAR
MODERATOR: Dr.FABITH MOIDEEN
HOD: Dr.VENUGOPAL P.P
A 58 yr old man brought to E.D at 2.00 am with complaints of difficulty in breathing.
Airway – Patent
Breathing – Tachypnea ++, Decreased airentry RT
Side,Hyperresonant RT side.
Needle decompression done at the 2nd
Intercostal Space,midclavicular line.
Intercostal drainage tube inserted in
the RT 6th intercostal space.
Circulation – Cold, clammy extremities, CRT> 2 secs
Disability – Pupils 2 mm equal and reacting to light.
Exposure – Nothing significant.
Vitals:
Pulse - 110/mt
BP - 100/80 mm of Hg
Temp - Normal
RR - 32/mt
Spo2 - 82% with 10 L O2 facial mask.
Signs and symptoms:
Breathlessness x 8 hrs
Seizure -2 episodes
Decreased food intake x 3 days
Allergies –Nil Specific
Medications-Anti depressants, Antihypertensives.
Past medical history- HTN, Psychiatric illness.
On examination-
HEENT - JVP Increased on the Rt side, trachea shifted to the left side,
pupils 2 mm and reacting to light.
Cardiovascular system- S1 S2 +.
Respiratory system-Decreased air entry and decreased chest movements on the RT side,
Hyperresonance in the RT side.
Gastrointestinal system-within normal limits.
Extremities-within normal limits.
Spine and back-within normal limits.
Nervous system within normal limits.
Investigations:
HB-12.9 MG/DL
ESR-10
TOTAL WBC-1600
PLATELET-3 LAKHS
S.UREA-31
S.CREAT-2.3
SGOT-70
SGPT-39
S.NA-120
S.K-3.3
CALCIUM-9.0
IMAGING-CT THORAX (PLAIN)
Findings suggestive of oesophageal rupture causing RT moderate hydropneumothorax.
Left moderate fluid
Fracture bilateral head of humerus.
Displaced fracture of RT transverse process of D12 vertebra.
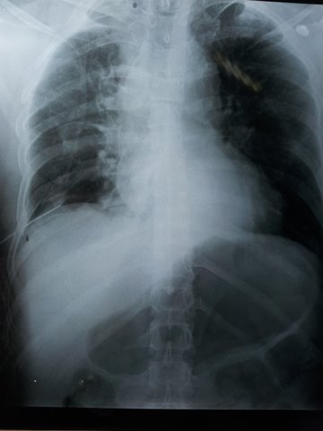
XRAYS-
.jpg)
The above x-ray shows tension pneumothorax on the RT side and B/L Humerus fractures.

The above x-ray shows the ICD inserted in the RT 6th intercostals space and developing pneumothorax in the LT side.
Management:
Multiple chest tube insertions.
Intubation and mechanical ventilation.
Broad spectrum antibiotics.
Thoracoscopy and oesophageal repair.
Supportive care.
Discussion:
BACK GROUND:
Almost 300 years ago, Herman Boerhaave, a Dutch physician, described the case of Barron Wassenaer,
the Grand Admiral of Holland In 1724, Boerhaave was called to the bedside of the admiral, who complained of
severe chest pain and exclaimed that something had burst in his chest. The admiral had consumed a huge meal,
had taken a self-prescribed emetic, and "shortly afterwards he vomited, but only a little and this not easily."
Over the next 16 hours, his condition progressively worsened until he died. Autopsy revealed a rent in an
otherwise normal-looking esophagus, with food and medicine in the left chest cavity. Spontaneous esophageal
rupture then became known as Boerhaave syndrome.
Until the middle of the 20th century, many similar uniformly fatal cases were described without full explanation.
As technology improved, however, instrumental perforation became more common, and the pathophysiologies of rupture, perforation, and esophageal disruption (anastomotic leak) were elucidated, although the definitions of these entities became blurred. This article discusses adult esophageal rupture.
EPIDEMIOLOGY:
The frequency of esophageal perforation is 3 in 100,000 in the United States. The distribution by location is
cervical (27%), intrathoracic (54%), and intra-abdominal (19%). The most common cause of esophageal perforation
is medical instrumentation for diagnostic and therapeutic endeavors; in one series, such instrumentation caused
65% of all perforations. The frequencies of other causes include postemetic (16%) and trauma, including
postoperative trauma (11%). All other causes (caustic, peptic ulcer disease, foreign body, aortic pathology, and
diseases of the esophagus) occur rarely, with a frequency of approximately 1%.
Esophagogastroduodenoscopy is the most common procedure instrumenting the esophagus. Risk of perforation with
diagnostic esophagogastroduodenoscopy is extremely low (0.03%). The risk of perforation is increased when
therapeutic procedures are performed at the time of endoscopy. Risk increases as follows:
Esophageal dilation - 0.5%
Esophageal dilation for achalasia - 1.7%
Endoscopic thermal therapy - 1-2%
Endoscopic variceal sclerotherapy - 1-6%
Endoscopic laser therapy - 5%
Photodynamic therapy - 4.6%
Esophageal stent placement - 5-25%
Esophageal perforation is rare with nonendoscopic esophageal instrumentation.
ETIOLOGY:
Causes of esophageal rupture may include the following:
Postemetic (spontaneous)
Diseases of the esophagus such as esophagitis, esophageal ulcer, paraesophageal hernia,Zollinger-Ellison syndrome,
and esophageal neoplasm
Postoperative (eg, esophagectomy, aortic aneurysm surgery, thoracotomy, fundoplications)
Caustic injury
Neck hyperextension
Aortic pathology (eg, aortic aneurysm)
PATHOPHYSIOLOGY:
The esophagus lacks a serosal layer and is, therefore, more vulnerable to rupture or perforation. Once a
perforation (ie, full-thickness tear in the wall) occurs, retained gastric contents, saliva, bile, and other
substances may enter the mediastinum, resulting in mediastinitis.
The degree of mediastinal contamination and the location of the tear determine the clinical presentation.
Within a few hours, a polymicrobial invasion of bacteria supervenes, which can lead to sepsis and, eventually,
death if the patient is not treated with conservative management or surgical intervention. The mediastinal
pleura often ruptures, and gastric fluid is drawn into the pleural space by the negative intrathoracic pressure.
Even if the mediastinal pleura
is not violated, a sympathetic pleural effusion often occurs. This effusion is usually left-sided but can be
bilateral. Rarely, isolated right-sided effusions occur.
The site of perforation varies depending upon the cause. Instrumental perforation is common in the pharynx or
distal esophagus. Spontaneous rupture may occur just above the diaphragm in the posterolateral wall of the
esophagus. Perforations are usually longitudinal (0.6-8.9 cm long), with the left side more commonly affected
than the right (90%).
Esophageal perforation remains a highly morbid condition. Mortality rates are reported from 25-89% and are based
predominantly on time of presentation and etiology of perforation. Postemetic perforation has a higher reported
mortality; it has been reported to occur at 2% per hour. Mortality rates have varied depending on the time from
symptomology until treatment was instituted treatment is instituted within 24 hours of symptoms, mortality rates
are 25%; rates rose to above 65% after 24 hours and 75-89% after 48 hours.
PRESENTATION:
HISTORY:
The classic presentation of spontaneous esophageal rupture is in a middle-aged man with a history of dietary overindulgence and overconsumption of alcohol, with chest pain and subcutaneous emphysema after recent vomiting or retching (Mackler triad). Typical symptoms include the following:
Pain of variable location, commonly in the lower anterior chest or upper abdomen
Vomiting
Subcutaneous emphysema
Neck pain
Dysphagia
Dyspnea
Hematemesis
Malena
Back pain
Atypical symptoms include shoulder pain, facial swelling, hoarseness, and dysphonia. Because spontaneous
esophageal rupture is a life-threatening emergency, clinicians should be aware of its atypical presentations.
Physical signs include the following:
Fever
Crepitus
Tachycardia
Tachypnea
Cyanosis
Dyspnea
Upper abdominal rigidity
Shock
Local tenderness
The classic Mackler triad, which includes vomiting, lower chest pain, and cervical subcutaneous emphysema,
is present in approximately 50% of cases.
The Anderson triad also refers to subcutaneous emphysema, rapid respirations, and abdominal rigidity.
INDICATIONS:
Controversy exists regarding indications for surgery for esophageal rupture; however, operative therapy depends
on a number of factors, including etiology, location of the perforation, and the time interval between injury
and diagnosis.[9] Other considerations include the extension of the perforation into an adjacent body cavity and
the general medical condition of the patient. General recommendations for surgery include the following:
Clinical instability with sepsis
Recent postemetic perforation
Intra-abdominal perforation
Lack of medical contraindications to surgery (eg, severe emphysema, severe coronary artery disease
Leak outside the mediastinum (ie, extravasation of contrast into adjacent body cavities)
Malignancy, obstruction, or stricture in the region of the perforation
Some believe that if treatment is instituted more than 24 hours after the perforation, the mode of treatment does
not influence the outcome and can be conservative, tube thoracostomy (drainage), repair, or diversion.
RELEVANT ANATOMY:
The esophagus is the muscular tube that serves to pass food from the oropharynx to the stomach. It is the narrowest part of the gastrointestinal tract, and its configuration is flat in the upper and middle portion and rounded in the lower portion. It has no mesentery or serosal coating, which is a unique feature of this portion of the gastrointestinal tract. The arterial blood supply to the esophagus includes the superior and inferior thyroid arteries, direct aortic branches, left gastric artery, and splenic artery.
Apart from the lack of a serosal coating, the construction of the esophagus is similar to other organs in the
gastrointestinal tract. It consists of four layers: external fibrous layer, intermediate muscular layer,
intermediate submucosal layer, and internal mucosal layer.
WORK UP-
LABORATORY STUDIES:
Complete blood count (CBC): Evidence of leukocytosis is common place for almost all esophageal perforations.
pH level: Esophageal perforations with penetrance into the pleural cavity have pH levels less than 7.2
IMAGING STUDIES:
Although findings may not include significant results if taken early, order urgent posteroanterior and lateral
chest and upright abdominal radiographs (diagnostic in 90% of cases) to look for the following conditions:
Hydrothorax (usually on the left)
Hydropneumothorax
Pneumothorax
Pneumomediastinum
Subcutaneous emphysema
Mediastinal widening without emphysema
Subdiaphragmatic air
Pleural effusions (These are more common on the left but can occur bilaterally and, rarely, only of the right.)
Gastrografin (water-soluble contrast) and/or barium esophagram following plain radiography may be performed to
look for extravasation of contrast and location and extent of rupture/tear. Twenty-two percent of patients
considered to have a strong likelihood of esophageal perforation whose water-soluble contrast studies reveal
negative results are found to have esophageal perforation on barium contrast studies.
Water-soluble contrast esophagram in a patient with esophageal perforation after esophageal dilation will show
contrast leak and normal esophageal lumen.
Air in the soft tissue of the mediastinum surrounding the esophagus
Abscess cavities in the pleural space/mediastinum
Communication of the esophagus with mediastinal fluid collections
OTHER TESTS:
Other tests depend on the results of esophagram.
MRI, CT scanning, or both may be indicated for dissection of aorta.
Ventilation/perfusion (V/Q) and/or CT scanning of the lungs may reveal pulmonary embolism.
ECG may exclude myocardial infarction or associated cardiac abnormalities
DIAGNOSTIC PROCEDURES:
Esophagogastroduodenoscopy is not recommended for acute esophageal rupture.
Thoracentesis, though rarely needed, may reveal acidic pH, elevated salivary amylase, purulent malodorous fluid,
or the presence of undigested food in pleural aspirate, which help confirm the diagnosis.
MEDICAL THERAPY:
Standard theraphy includes the following:
Admission to medical/surgical ICU
Nothing by mouth
Parenteral nutritional support
Nasogastric suction
Broad-spectrum antibiotics
Narcotic analgesics
Absence of clinical signs of infection
Contained perforation in the mediastinum and the visceral pleura without penetration to another body cavity
Perforation draining back into the esophagus
Criteria for nonoperative treatment include the following:
Recent iatrogenic perforation or late iatrogenic or postemetic esophageal perforation
Intrathoracic perforation
Absence of sepsis
Medical contraindications to surgery (eg, severe emphysema, severe coronary artery disease)
Isolation of the leak within the mediastinum or between the mediastinum and visceral pleura (no extravasation
of contrast into adjacent body cavities)
No malignancy, obstruction, or stricture in the region of the perforation
Minimal symptoms
Some authors believe that if treatment is instituted more than 24 hours after the perforation, the mode of
treatment does not influence the outcome and can be conservative, tube thoracostomy (drainage), repair, or
diversion.
Drainage of perforation into the esophagus
Medication
Drug Category: Antibiotics – No randomized clinical trials exist for antibiotics and esophageal perforation.
However, empiric coverage for anaerobic and both gram-negative and gram-positive aerobes should be done when
the initial diagnosis is suspected.
SURGICAL THERAPY:
Surgical techniques used for esophageal rupture include the following:
Tube thoracostomy (Drainage with a chest tube or operative drainage alone)
Primary repair
Diversion
Diversion and exclusion
Esophageal resection
Thorascopic repair
Esophageal stent.
Endoscopic placement of fibrin sealent.
FOLLOW UP:
FURTER IN PATIENT CARE (Conservative Management)
Consider early surgical repair when indicated because delayed repair (>24 hours) may alter the surgical
approach and increases the mortality rate.
Maintain nasogastric suction until evidence exists that esophageal perforation has healed, is smaller, or is
unchanged.
Deterioration in a patient's condition should prompt consideration of surgery, the need for which may be confirmed
by contrast esophagrams to look for leakage or CT scans to detect an abscess.
Transfer
Transfer patients from hospitals without an experienced thoracic surgeon to a hospital with an experienced surgical team.
COMPLICATIONS:
Mediastinitis
Intrathoracic abscess
Sepsis
Respiratory failure
Shock
OUTCOME AND PROGNOSIS:
Esophageal perforation remains a highly morbid condition with a high mortality rate if not diagnosed and treated
promptly. Postemetic perforation has a higher reported mortality rate of 2% per hour and an overall mortality of
25-89%, while iatrogenic instrumental perforation has a lower mortality of 5-26%. If treatment is instituted
within 24 hours of symptoms, reported mortality rates are 25%; rates rose to above 65% after 24 hours and 75-89%
after 48 hours. The mortality rates are higher in patients with delayed presentation or treatment,
thoracic/abdominal rupture, spontaneous rupture, and underlying esophageal disease.
FUTURE AND CONTROVERSIES:
Controversy exists regarding indications for surgery for esophageal rupture. However, operative therapy depends on
a number of factors, including etiology, location of the perforation, and the time interval between injury and
diagnosis. Other considerations include the extension of the perforation into an adjacent body cavity and the
general medical condition of the patient. Currently, no randomized trials exist for the appropriate treatment of
esophageal perforation in regard to this controversy; therefore, future studies could be considered.