India's First International Academic Training Centre- (GWU, USA), International Training organization - American Heart Association
  • Home
  • About us
  • Courses
    • MEM
    • EMS
    • EMN
    • DNB EM
  • Services
  • Faculty
    • International
    • National
    • Regional
    • AHA Courses
  • Residents
    • PG Year I
    • PG Year II
    • PG Year III
  • Academics
    • MEM International
    • EMS Advanced Diploma
    • Academics at a glance
    • EMN Advanced diploma
    • Teaching schedule
    • Notice Board
    • Saturday Club
    • Duty Roster
  • Alumni
    • MEM
    • EMS
    • PG IFEM
  • Press Release
  • Downloads
  • Achievements
  • Contact Us
    • ACLS
    • Mobile ICU
    • Emergency Medicine
    • Suggestion Box

TEMC 2019

Advanced Workshop on TRAUMA & EMERGENCY MEDICAL CARE on 17th August 2019

more >>

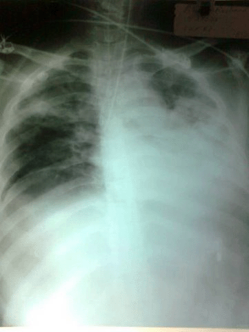
Endobronchial Intubation

01 AUG 2010

Endobronchial Intubation Image- For case details  see the text

Recent cases
  • BLEOMYCIN INDUCED LUNG INJURY
  • Prolonged Resuscitation
  • Migrating Bullet
  • COBRA ENVENOMATION
  • Lupus Enteritis
  • Tiger Bite - Now becoming common in Malabar area
  • Purulent Pericardial effusion in Retro Virus infection
  • Angio odema
  • Seat belt sign
  • OESOPHAGEAL RUPTURE
Case of the week Archives

© Malabar Institute of Medical Sciences Ltd., All Rights Reserved

  • Home
  • About us
  • Services
  • Faculty
  • Archives
  • Articles
  • Gallery
  • Contact Us
  • Website Design @ IPIX Solutions