What Renuka Says Spotter Series ...
Dr Favas, DNB Y-I
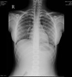
A 13 year old girl with a DOUBT that she had swallowed a single end pointed needle 30 minutes prior to attending the fast track op.
No h/o any foreign body sensation neck, no abdomen pain
On examination -
Vitals:stable
Chest:clear
P/A: soft, non tender
Was about to discharge as she has only DOUBT,
With these X RAY ,
doubt is cleared , there is no forign body
BUT…..
.bmp)
DISCUSSION
Ingested foreign body in children
Management:
Most object traverse git without difficulty, but some sharp objects may need endoscopic removal