What Renuka Says Spotter Series ...
Dr Ranjith R, MEM Y-II
29 year old male with 1 month history of Progressively increasing dyspnoea, Cough with mucoid sputum
Working in a petrol pump, but no obvious exposure to dust, smoke, pets
Clinically stable :
ABCs normal, Vitals stable, AEBE, B/L Creps +
.bmp)
.bmp)
.bmp)
.bmp)
.bmp)
Pulmonary Alveolar Proteinosis (PAP)
Congenital
Acquired
Secondary
Impaired processing of surfactant by alveolar macrophages contributes to the pathogenesis of PAP
Age : 30 – 50
Sex : Male – Female (2 : 1)
Symptoms :
Progressive dyspnea on exertion
Cough
Fatigue
Weight loss
Low-grade fever
Signs :
Normal
Clubbing and cyanosis
Crackles
Polycythemia
Hypergammaglobulinemia
Increased LDH levels
Increased serum anti-GM-CSF titers
Sputum : PAS-positive material in macrophages
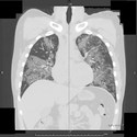
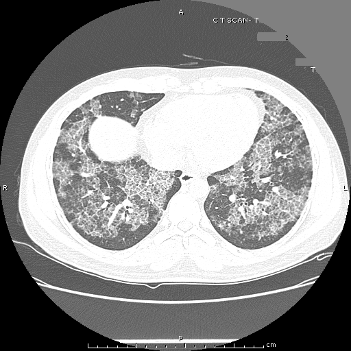
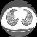
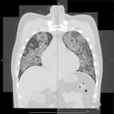
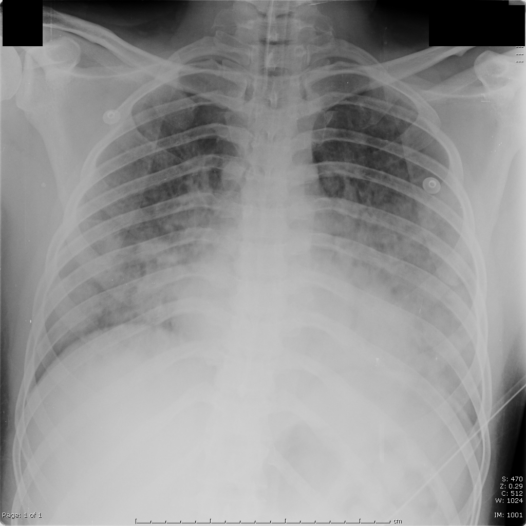
Bilateral symmetric alveolar opacities located centrally in mid and lower lung zones are typical, often in a "bat wing" distribution
.bmp)
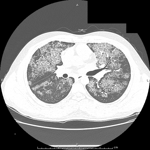
HRCT :
Ground-glass opacification, predominantly in a homogeneous distribution.
Thickened intralobular structures and interlobular septa in typical polygonal shapes, referred to as "crazy-paving“
.bmp)
BAL :
An opaque or milky appearance due to the abundant lipoproteinaceous material
Treatment :
Whole lung lavage
Subcutaneous GM-CSFc